Mecanismos de Acción

Resumen de los mecanísmos de acción



Coagulación de proteínas de tejidos subcutáneos hipotónicos
Legenda
-
si inserta el producto endopeel principal en clara de huevo como en el tubo de ensayo enfrente, obtendrá inmediatamente una coagulación proteica debido al efecto desnaturalizante de las proteínas producidas por Endopeel.
-
La misma cosa para con la celulitis, si inyecta Endopeel en el tejido subcutáneo con efecto lifting, efecto reencauche, efecto tensor y disminución de la circunferencia perimetral del muslo.
-
Conclusión :
ENDOPEEL es muy eficaz tanto en la celulitis como en el tratamiento de la piel de naranja. Endopeel tensa el tejido subcutáneo que parece estar "planchada".
La fibroesclerosis sucesiva postratamiento endopeel determina una mejora estética y funcional de los tejidos hipotónicos.


Expresión de la sinaptofisina y la proteína S100
Esto muestra que Endopeel tiene un mecanismo de acción completamente diferente en la placa motora a diferencia de la toxina botulínica.

Velocidad de conducción en la miofibra del gastrocnemio de la rata Whistler
Legenda
Este estudio ha sido realizado por neurofisiólogos coreanos de Busan-Corea del Sur
-
Control con NaCl 0,9% 1 ml
-
Media + -S.D (m / s) p valor <0,05: Sin variación de la velocidad de conducción
- La velocidad de conducción disminuye hasta el día 5 después de la inyección de endopeel y aumentará lentamente durante 1 mes para volver a la normalidad..
Conclusión :
ENDOPEEL conduce a un restitutio ad integrum o " restauración a la condición original "
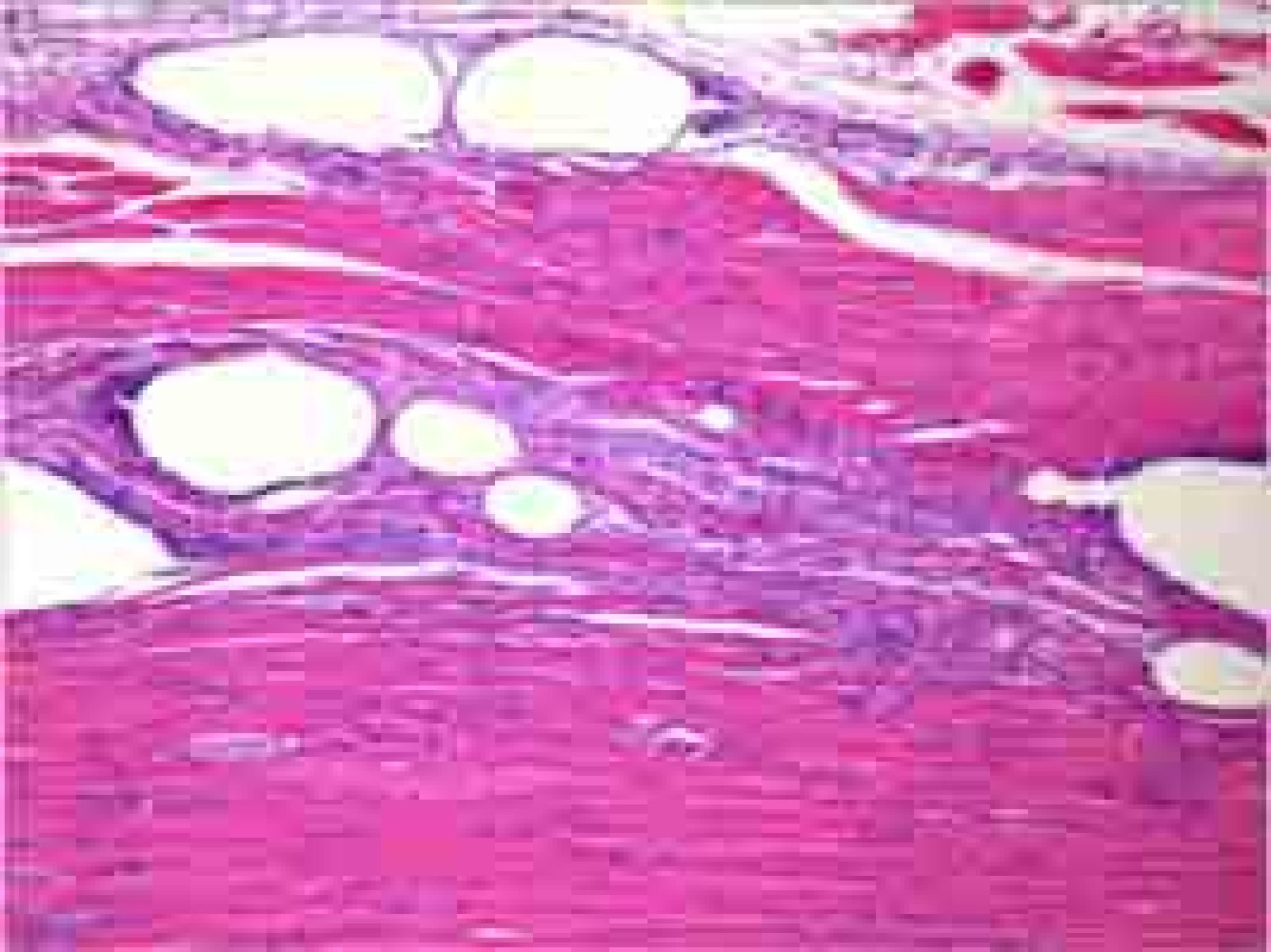
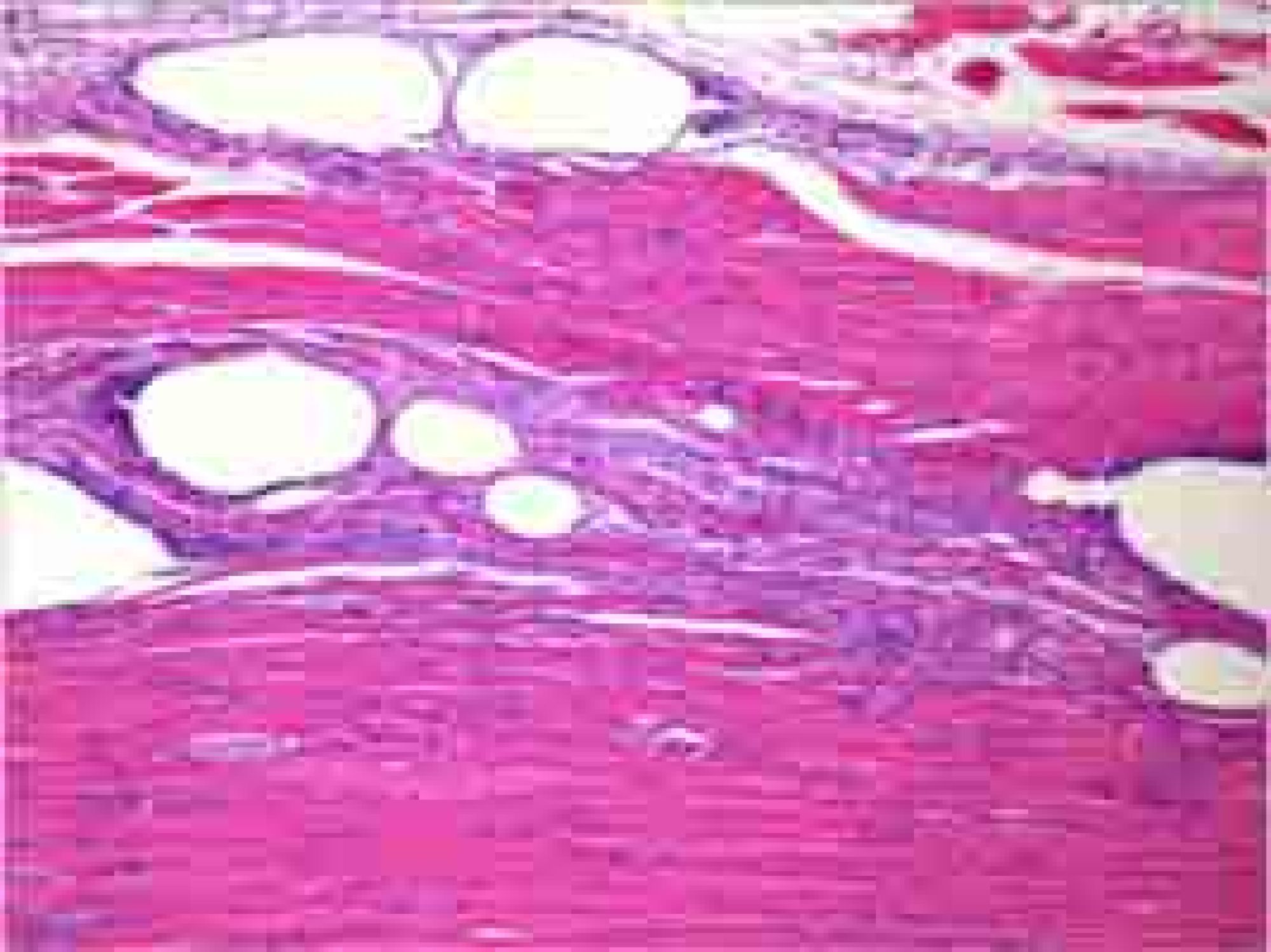
Efecto esclerosante sobre los vasos
Endopeel tiene un efecto esclerosante.
Endopeel disminuye la flacidez fortaleciendo la tonicidad muscular. También al estirar la piel, en la parte superior de los músculos, puede proporcionar la eliminación de arrugas y es demasiado interesante para tratar las ojeras debajo del párpado inferior.

