Histología
Cortesía del Laboratorio del Departamento de Patología de la Facultad de Medicina de Ribeirão Preto - USP

01
Grupo de
Estudio
N = 29 ratas Wistar
Peso medio: 421g
Origen de los animales: Biotério Central del Campus de Ribeirão Preto de la Universidad de São Paulo
Mantenimiento: Laboratorio de Patología Experimental del Departamento de Patología de la Facultad de Medicina de Ribeirão Preto - USP
Mantenimiento de animales: cajas de polipropileno
Comida para animales: dieta básica de laboratorio y agua.
Condiciones de luz: ciclos naturales de luz / oscuridad en condiciones básicas controladas
Experimentadores: A.Tenenbaum, R.Mené, Kim

02
Sacrificio de animales y muestras histológicas
Los ratones fueron sacrificados en cámaras de CO2.
- Incisión de la piel con bisturí nº 23
- Hallazgo y aislamiento del músculo pretibial con tijeras de Metzenbaum
- Sección de tendones con tijeras Mayo.
- Fijación de porciones de los músculos en secciones de alcornoque
- Incrustación con solución de formaldehído al 50% - tamponada al 10% y parafina pura al 50% para estudio microscópico óptico convencional.
- Secciones de tinción como proceso histológico de rutina.
- Microtomo utilizado: Leika RM 2155
- Coloración de cortes de músculo con
-hematoxilina-eosina
-Tricrómico de Masson
-y picro-sirius rojo.
- El examen histológico se realizó con un microscopio convencional. (Olympus BH-2).
- Observación bajo lámpara polarizada
- La documentación fotográfica se realizó con un microscopio Leica DMR unido a una cámara digital Leica CD 300F y un PC compatible.

03
Material
- Los animales se dividieron en 6 cajas, de modo que las cajas del 1 al 5 tenían 5 ratas y la caja 6 tenía 4 ratas.
- Todos los animales fueron sometidos a una evaluación de la marcha mediante la impresión de la huella en un papel especial y la inmersión previa de las patas traseras en una solución jabonosa..
- La caja 1 tenia el grupo de control, que recibió la aplicación de 0,1 ml de solución salina (NaCl 0,9%) en el músculo pretibial derecho
- Los ratones de las cajas 2 a 5 recibieron 0,1 ml de producto principal original de Endopeels en el mismo músculo que el grupo de control.
-
La caja 6 estaba constituida por 4 ratas, y cada una recibió 0,5 ml del producto principal original de Endopeels inyectado en la capa subcutánea.
-
Todos los animales se sometieron a evaluación de la marcha antes y después de sus respectivas inyecciones.

04
Métodos

05
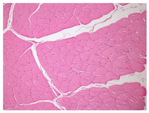
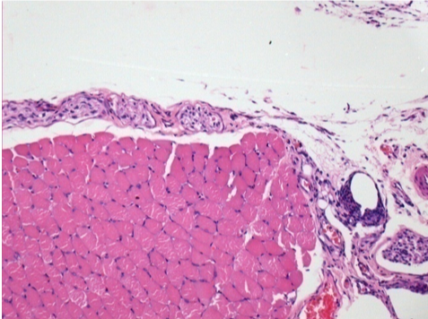
Control
Comentario: Nada que declarar después de la inyección de solución salina.

L: Pretibial-Sin tratamiento

R: Pretibial-Después de 0,1 ml de NaCl 0,9% IM
06
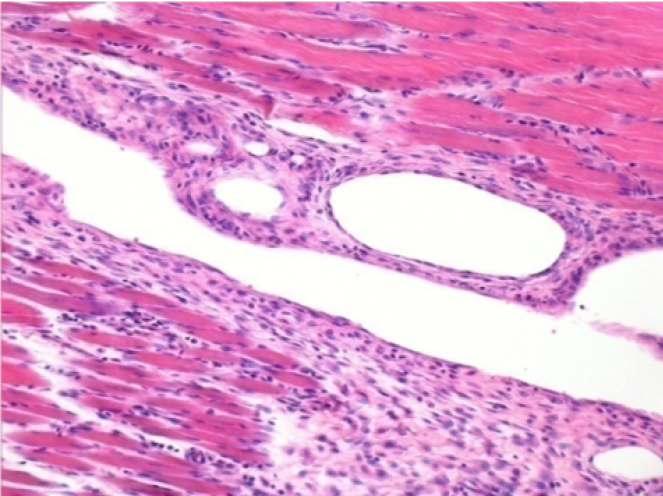
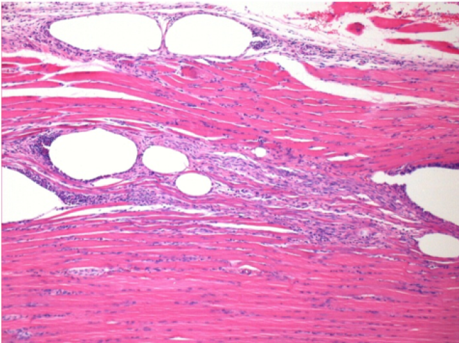
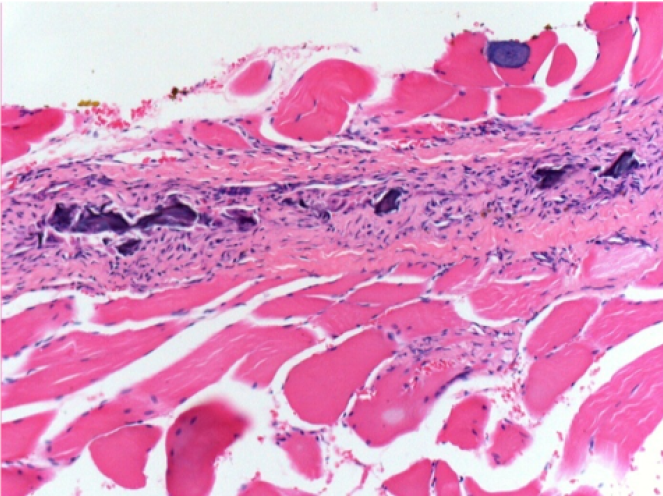
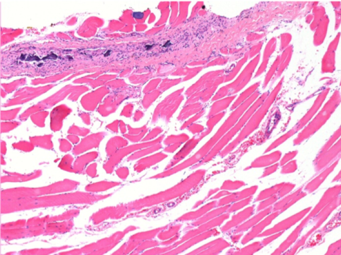
10 días después de la inyección de Endopeel
10 días después de la inyección de Endopeel 0,1 ml en el músculo pretibial derecho.
Aquí puede ver la formación de las vacuolas que están rodeadas de linfocitos. Las vacuolas son diferentes a la necrosis tisular. La presencia de linfocitos está relacionada con la permeabilidad de las membranas celulares.

L : Control-100xD10

R:100xD10

R :200xD10

R :400xD10
07
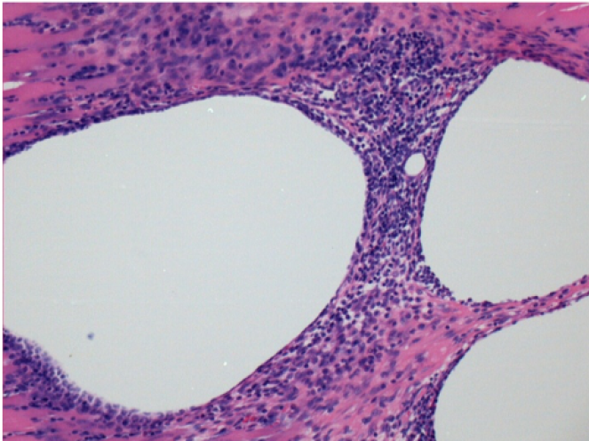
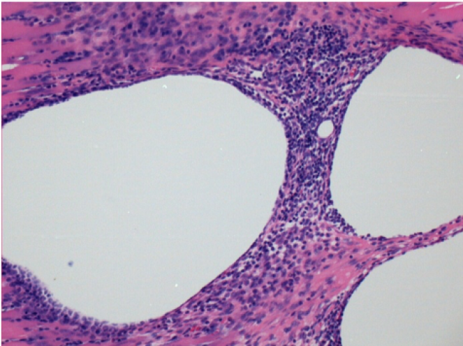
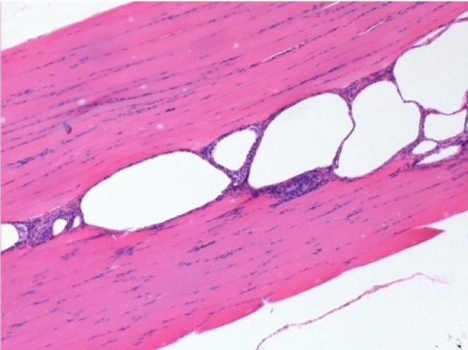
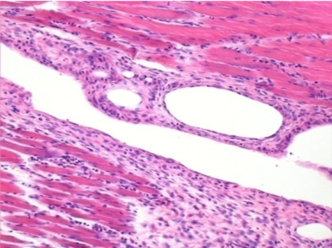
1 mes después de la inyección de Endopeel
1 mes después de la inyección de Endopeel 0,1 ml en el músculo pretibial derecho.
¡Lo que se ve en negro en las imágenes no es una necrosis como podrían imaginar algunos científicos!
De hecho, hay que tener en cuenta 4 conclusiones
- un artefacto de coloración
- una ausencia de necrosis
- una apoptosis
- un proceso biorregenerativo

L : Control-100xD30

R:100xD30

R :400xD30
08
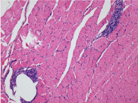
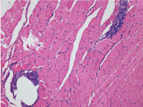
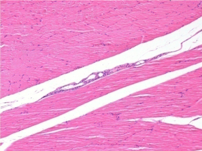
3 meses después de la inyección de Endopeel
3 meses (D90) después de la inyección de Endopeel 0.1ml en el músculo pretibial derecho.

L : Control-100xD90

R:100xD90
09
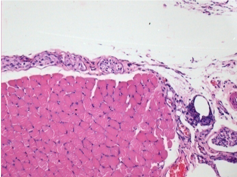
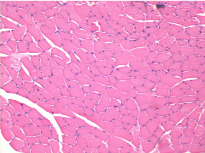
7 meses después de la inyección de Endopeel
7 meses (D210) después de la inyección IM de Endopeel 0,1 ml en el músculo pretibial derecho.
Restitutio ad integrum (restauración a la condición original) completa después de 7 meses

L : Control-100xD210

R:100xD210

L :Control 50xD210

R50X-D210
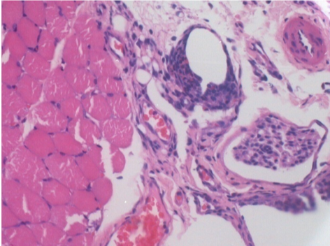
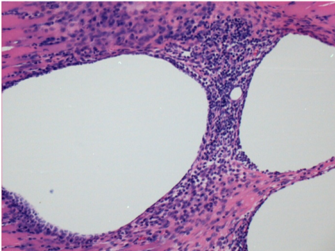
10 Inyección subcutánea
Inyección de endopeel en tejido subcutáneo
0,5 ml (5 x 0,1 ml) Endopeel SC Inyección en el área pretibial subcutánea derecha.

L:200x-Control-SC

R-D10-SC-200X

R-D30-SC-200X

R-D90-SC-200X

R-D210-SC-200X

R-D210-SC-400X

-
- Endopeel induce una miofibrólisis selectiva reversible y una reacción inflamatoria en un período de 1 mes, aproximadamente
-
- Los cambios musculares son reversibles casi en su totalidad.
-
- El músculo es el mejor lugar para inyectar Endopeel debido a su mayor eficacia, control y duración de su acción.
-
- No se han encontrado necrosis ni abscesos en todo el estudio.
